2. Paste this code immediately after the opening tag:
Skip to content
Can Antidepressants Cause Dental Problems?

Can Antidepressants Cause Dental Problems?

If you’ve recently started taking antidepressants, you might have noticed some unexpected changes—like dry mouth, sensitivity, or even jaw tension. While these medications play an important role in supporting mental health, they can also affect your oral health in ways that aren’t always obvious. At , we help patients in , understand these connections—and how … Continued

Read More
Can Seasonal Allergies Cause Tooth Pain?

Can Seasonal Allergies Cause Tooth Pain?

When allergy season arrives in , most people expect sneezing, congestion, and itchy eyes. But some patients notice something unexpected: their teeth start to ache. At , we occasionally see patients who experience tooth discomfort during peak allergy months. While it may feel like a dental problem, seasonal allergies can sometimes create sinus pressure that … Continued

Read More
Do Dentists Recommend Electric Toothbrushes?

Do Dentists Recommend Electric Toothbrushes?

If you’ve ever walked down the toothbrush aisle, you’ve probably noticed something: electric toothbrushes are everywhere—and some of them cost a lot more than the basic manual ones. So it’s no surprise that many patients ask us the same thing during checkups at : “Are electric toothbrushes actually worth it?” The short answer is that … Continued

Read More
Can Gum Disease Affect Your Heart?

Can Gum Disease Affect Your Heart?

Your oral health affects more than just your smile. Research shows that gum disease and heart disease may be connected, which means keeping your gums healthy could play a role in protecting your overall health. At , we help patients in understand the bigger picture of oral health. Here’s what you should know about gum … Continued

Read More
Chipped Tooth on Spring Break? What to Do Next

Chipped Tooth on Spring Break? What to Do Next

Spring break is supposed to be relaxing. Whether you’re traveling, playing sports, or just enjoying time off, the last thing you expect is a dental emergency. But every year, chipped teeth happen — after biting into something hard, taking a fall, or even from unnoticed grinding. If this happens, don’t panic. At , we help … Continued

Read More
When to See a Dentist for Dry Socket

When to See a Dentist for Dry Socket

Some soreness after a tooth extraction is expected—that’s part of the healing process. However, when discomfort starts to intensify instead of easing (most often between days 2 and 4), it may be a sign that you should contact a dentist for dry socket. Dry socket pain can be sharp and persistent, but the upside is … Continued

Read More
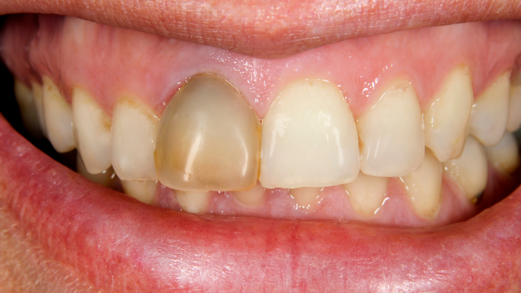
How Long Can You Leave a Dead Tooth?

How Long Can You Leave a Dead Tooth?

If you’ve been told you have a dead tooth, or you suspect one, it’s natural to wonder how urgent the situation really is. Can it wait a little while? Or is this something that needs attention sooner rather than later? At Winning Smile Dental Group in Evanston, IL, this is a question we hear often. … Continued

Read More
When Should You See a Dentist for Yellow Teeth?

When Should You See a Dentist for Yellow Teeth?

If your teeth are looking more yellow than they used to, it’s natural to wonder what’s causing it—and whether it’s time to see a dentist for yellow teeth. While some discoloration is harmless, other types of yellowing can signal that professional care will make a real difference. At Winning Smile Dental Group in Evanston, IL, … Continued

Read More
Smile Improvement Options for Adults

Smile Improvement Options for Adults

Many adults in Evanston assume smile correction is something you do as a teenager — and if you didn’t, that window has passed. In reality, modern dentistry offers multiple smile improvement options at any age, often without braces or major lifestyle changes. If you’ve ever wondered whether it’s too late to fix your smile as … Continued

Read More